-
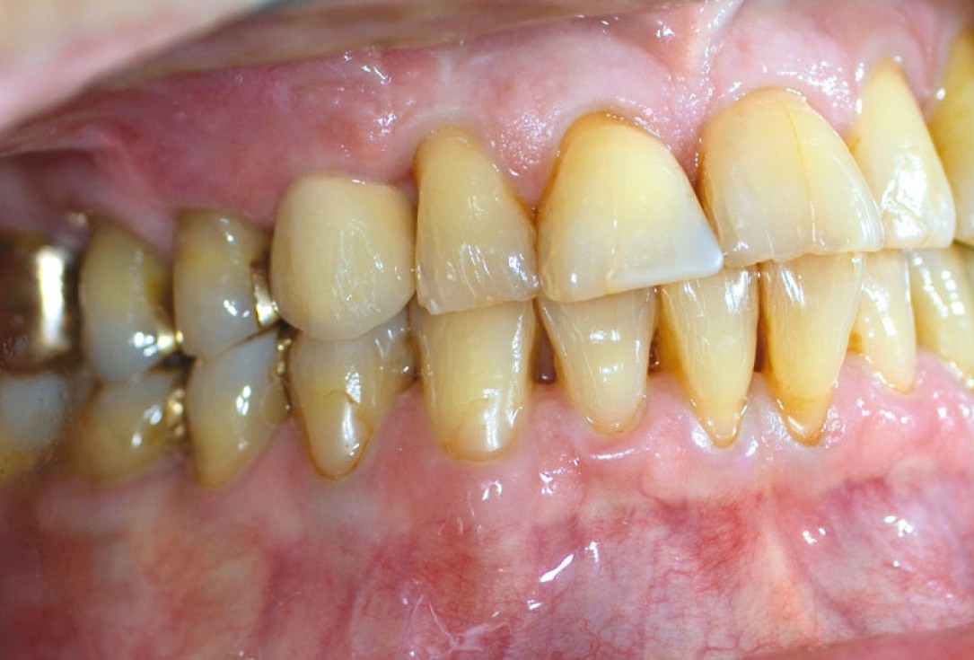
01/12 - Initial situation - bone defect in maxilla after loosing right canine
Block augmentation with maxgraft® in the maxilla - PD Dr. Dr. F. Kloss
-
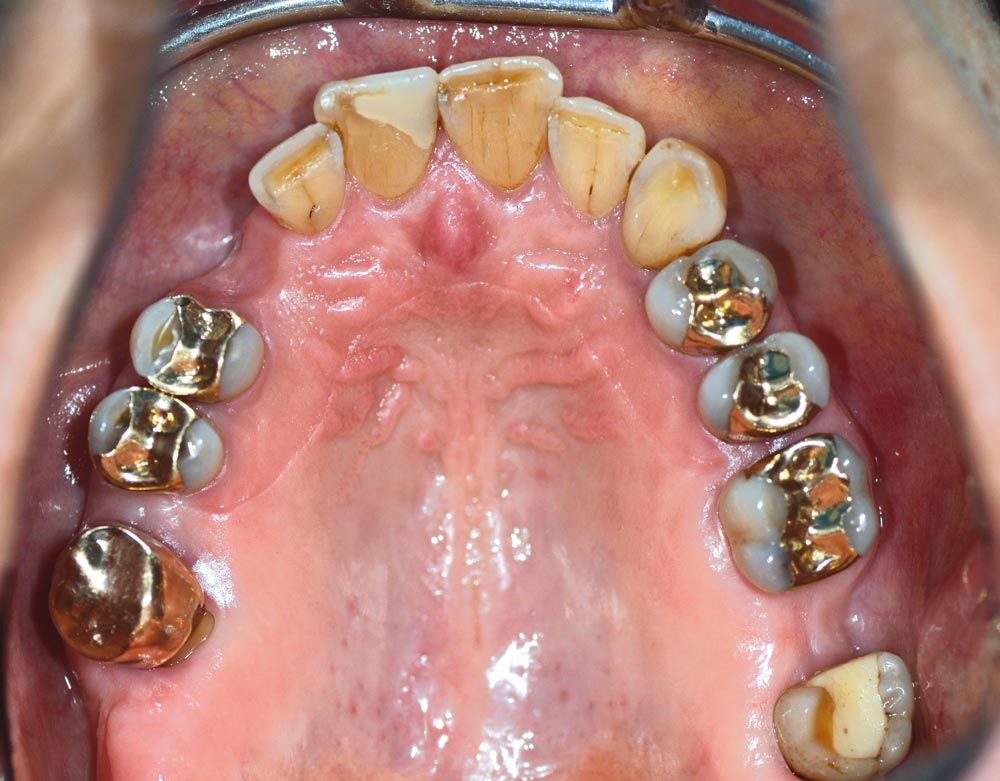
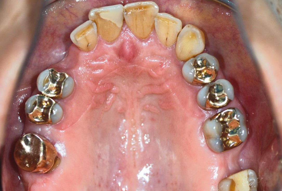
02/12 - Occlusal view of initial situation
Block augmentation with maxgraft® in the maxilla - PD Dr. Dr. F. Kloss
-
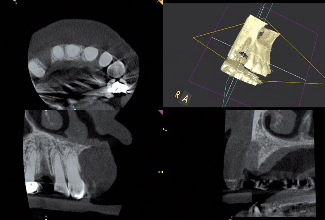
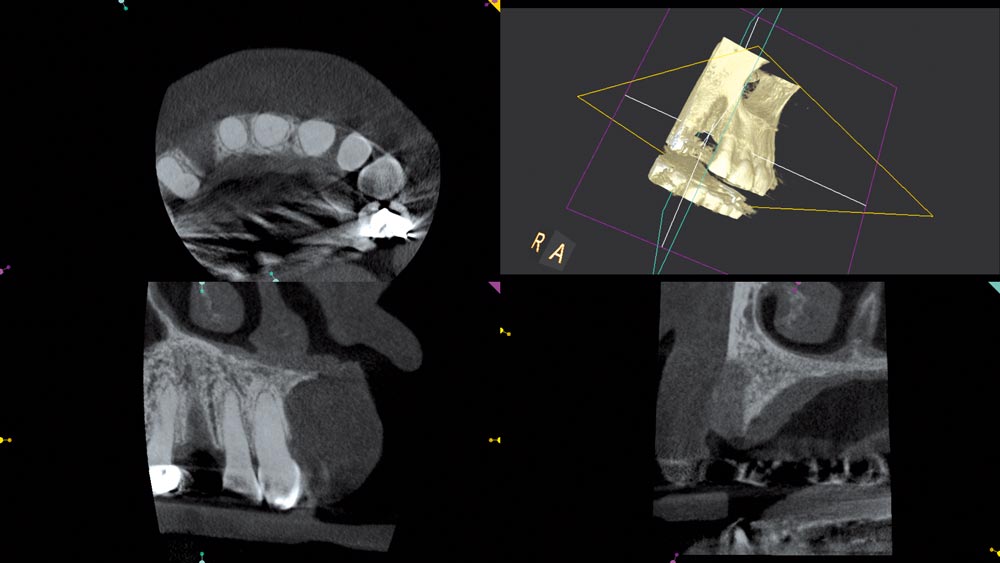
03/12 - Initial CBCT scan
Block augmentation with maxgraft® in the maxilla - PD Dr. Dr. F. Kloss
-
04/12 - Preoperative radiological situation
Block augmentation with maxgraft® in the maxilla - PD Dr. Dr. F. Kloss
-
05/12 - Intraoperative situation
Block augmentation with maxgraft® in the maxilla - PD Dr. Dr. F. Kloss
-
06/12 - Intraoperative situation
Block augmentation with maxgraft® in the maxilla - PD Dr. Dr. F. Kloss
-
07/12 - CBCT scan post augmentation
Block augmentation with maxgraft® in the maxilla - PD Dr. Dr. F. Kloss
-
08/12 - X-ray scan post augmentation
Block augmentation with maxgraft® in the maxilla - PD Dr. Dr. F. Kloss
-
09/12 - CBCT scan 5 months post augmentation
Block augmentation with maxgraft® in the maxilla - PD Dr. Dr. F. Kloss
-
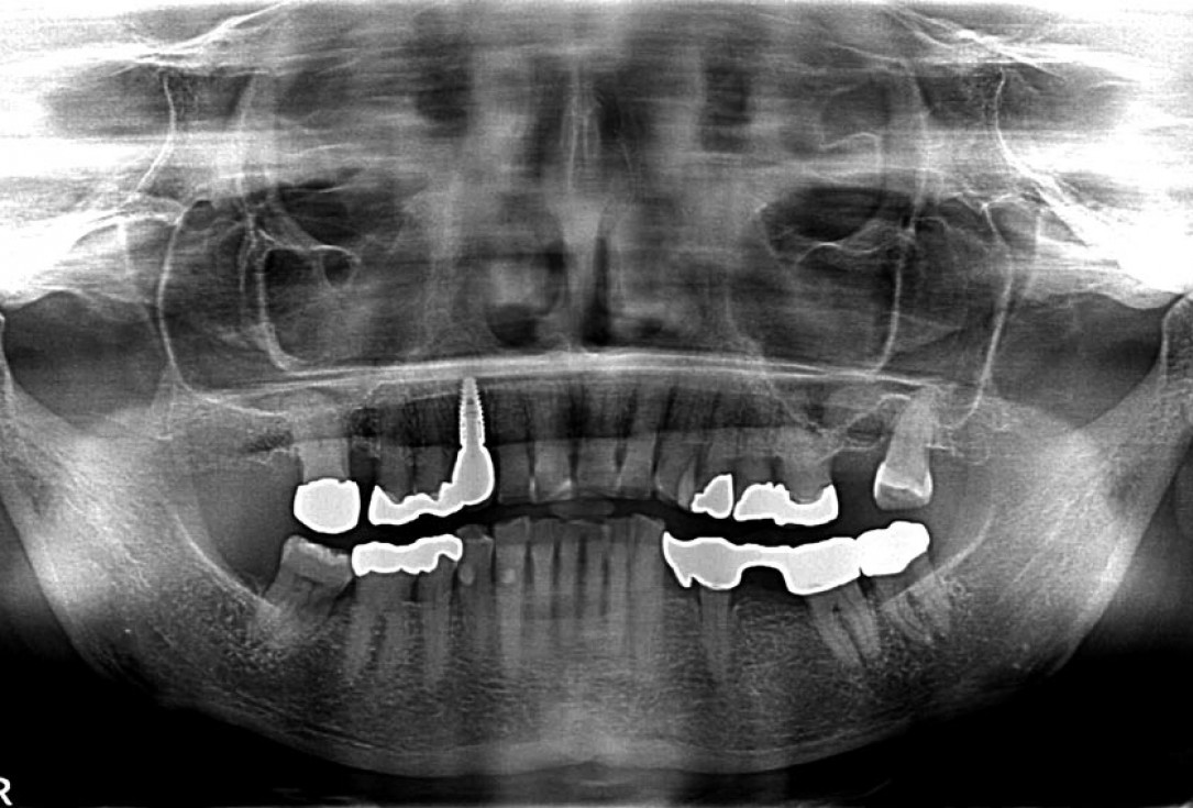
10/12 - X-ray scan after implant placement
Block augmentation with maxgraft® in the maxilla - PD Dr. Dr. F. Kloss
-
11/12 - Final clinical situation
Block augmentation with maxgraft® in the maxilla - PD Dr. Dr. F. Kloss
-
12/12 - Stable situation 12 months after final prosthesis
Block augmentation with maxgraft® in the maxilla - PD Dr. Dr. F. Kloss