-
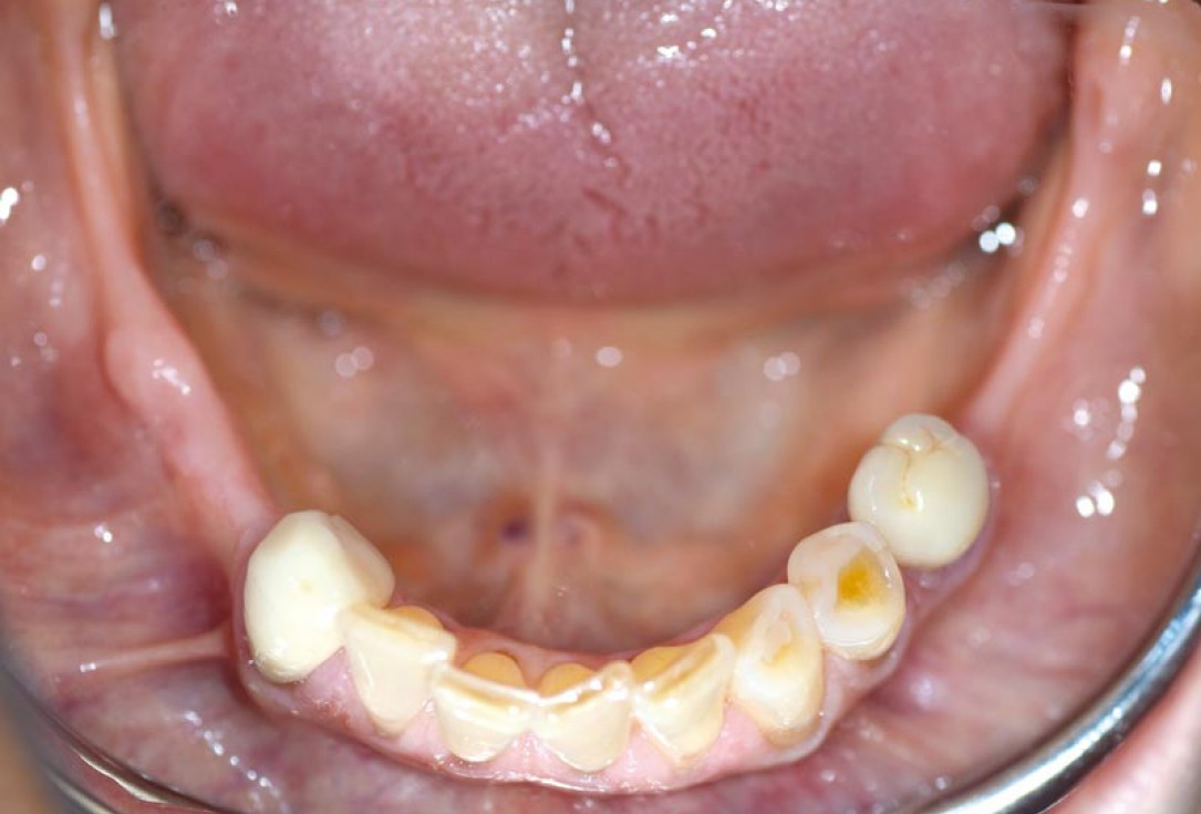
01/14 - Free-end situation in right mandible
Block augmentation with maxgraft® in the mandible - PD Dr. Dr. F. Kloss
-
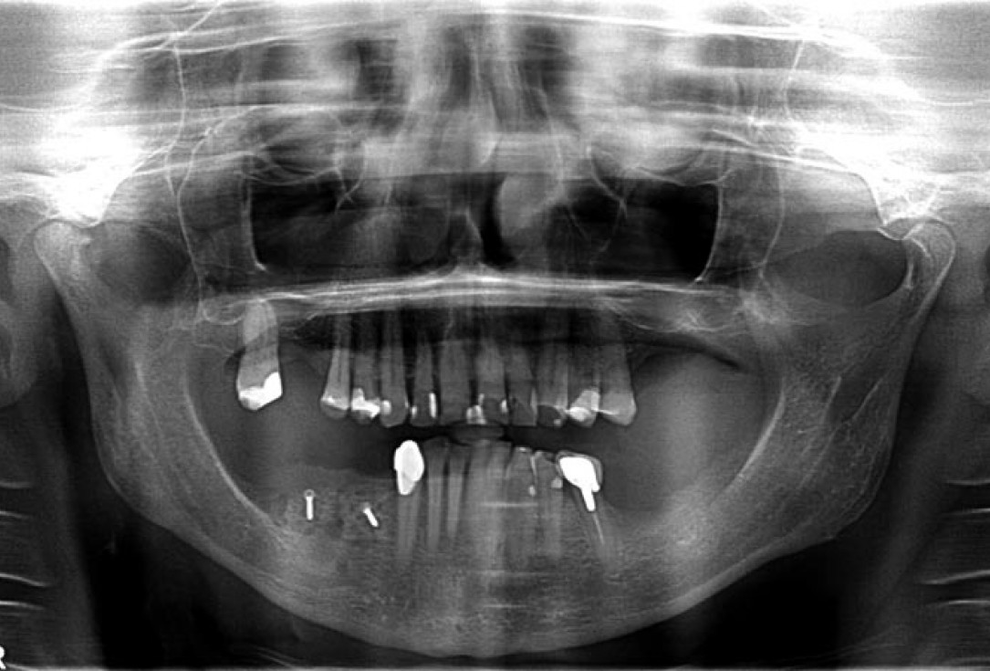
02/14 - Preoperative radiological situation
Block augmentation with maxgraft® in the mandible - PD Dr. Dr. F. Kloss
-
03/14 - Initial CBCT scan showing severe ridge atrophy in the right mandible
Block augmentation with maxgraft® in the mandible - PD Dr. Dr. F. Kloss
-
04/14 - Intraoperative situation: knife-edged ridge
Block augmentation with maxgraft® in the mandible - PD Dr. Dr. F. Kloss
-
05/14 - Fixation of maxgraft® blocks with osteosynthesis screws
Block augmentation with maxgraft® in the mandible - PD Dr. Dr. F. Kloss
-
06/14 - CBCT scan post augmentation
Block augmentation with maxgraft® in the mandible - PD Dr. Dr. F. Kloss
-
07/14 - Radiological situation post augmentation
Block augmentation with maxgraft® in the mandible - PD Dr. Dr. F. Kloss
-
08/14 - Stable situation 5 months post augmentation
Block augmentation with maxgraft® in the mandible - PD Dr. Dr. F. Kloss
-
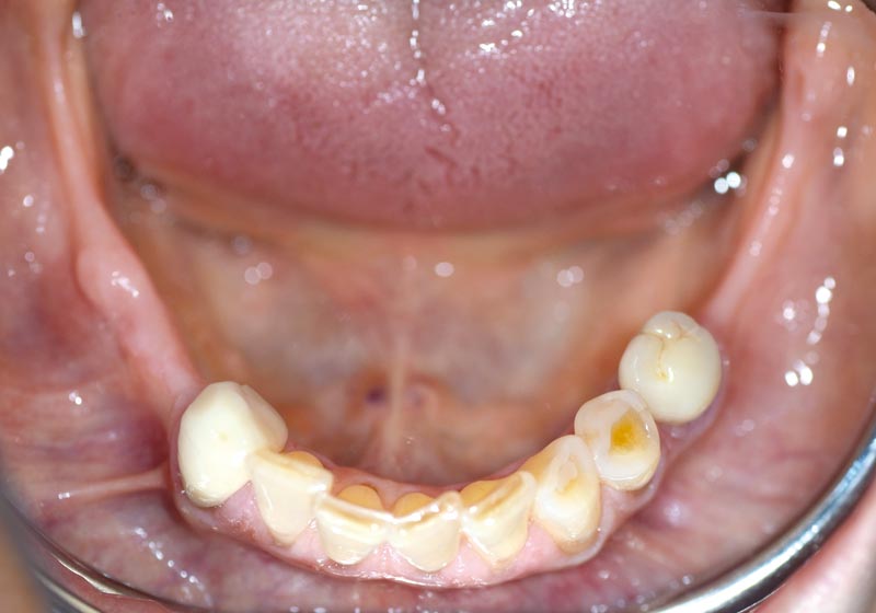
09/14 - Implantation 6 months post augmentation
Block augmentation with maxgraft® in the mandible - PD Dr. Dr. F. Kloss
-
10/14 - Radiological situation post implantation
Block augmentation with maxgraft® in the mandible - PD Dr. Dr. F. Kloss
-
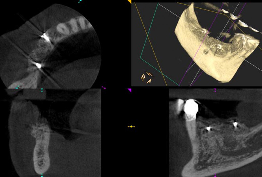
11/14 - CBCT scan post implantation
Block augmentation with maxgraft® in the mandible - PD Dr. Dr. F. Kloss
-
12/14 - Radiological situation after exposing the implants
Block augmentation with maxgraft® in the mandible - PD Dr. Dr. F. Kloss
-
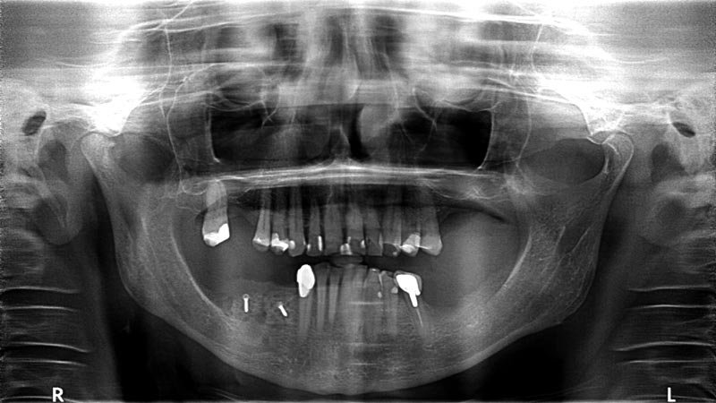
13/14 - Radiological situation 18 months post augmentation
Block augmentation with maxgraft® in the mandible - PD Dr. Dr. F. Kloss
-
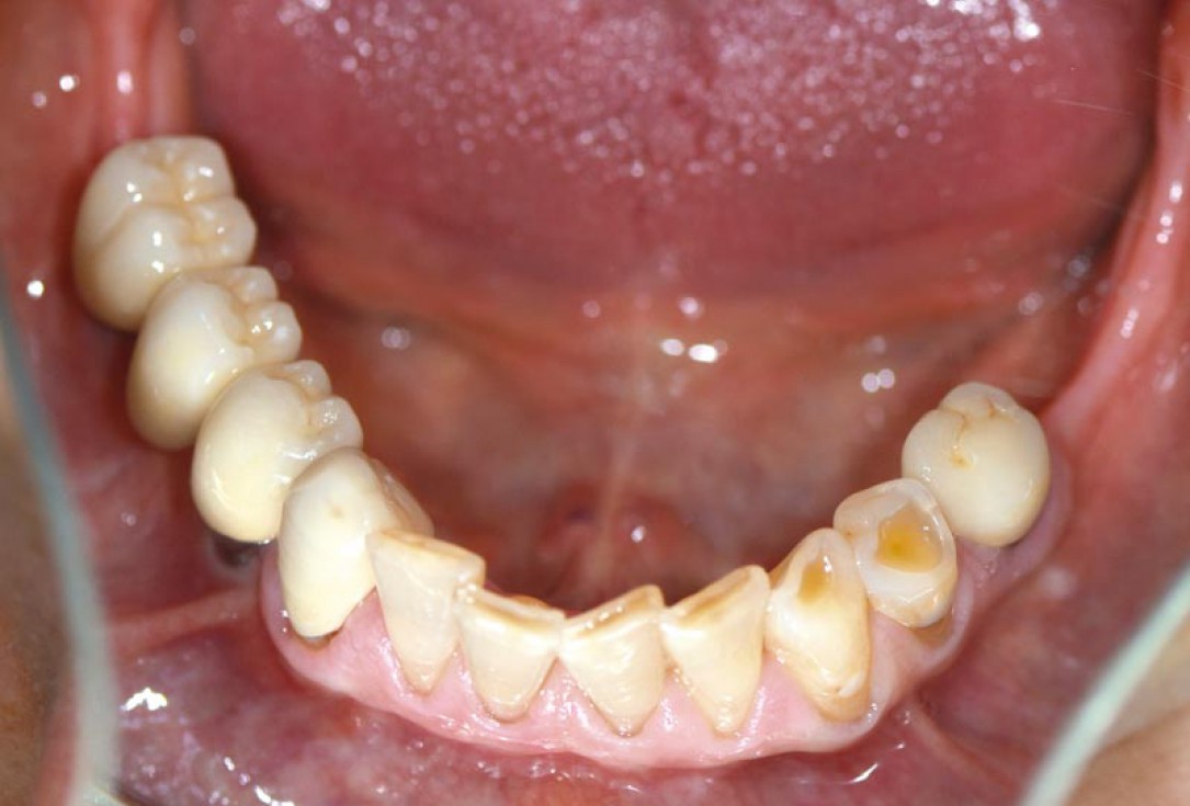
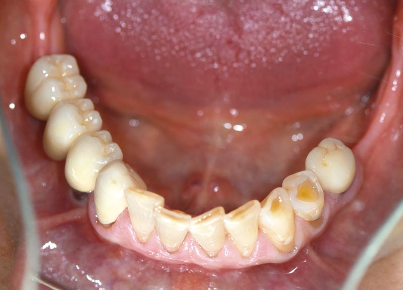
14/14 - Final clinical situation with prosthetics 18 months post augmentation
Block augmentation with maxgraft® in the mandible - PD Dr. Dr. F. Kloss