-
01/17 - Initial situation before surgery. Patient lost central incisors 1 month ago due to endodontic failures
Block augmentation with maxgraft® block & mucoderm® - Dr. K. Chmielewski
-
02/17 - Initial situation showing horizontal defect of hard and soft tissue
Block augmentation with maxgraft® block & mucoderm® - Dr. K. Chmielewski
-
03/17 - Vestibular defect of hard tissue visible in CBCT examination with planned position of future implants
Block augmentation with maxgraft® block & mucoderm® - Dr. K. Chmielewski
-
04/17 - Full flap elevation and severe hard tissue exposure
Block augmentation with maxgraft® block & mucoderm® - Dr. K. Chmielewski
-
05/17 - Mobilisation of full flap is achieved by periostium incision in the bottom of the flap
Block augmentation with maxgraft® block & mucoderm® - Dr. K. Chmielewski
-
06/17 - Cortico-cancellous maxgraft® block is prepared by wetting in saline solution according to manufacturer
Block augmentation with maxgraft® block & mucoderm® - Dr. K. Chmielewski
-
07/17 - Perforation of the vestibular cortical plate of the ridge with Piezosurgery to improve nutrition for the augmented site
Block augmentation with maxgraft® block & mucoderm® - Dr. K. Chmielewski
-
08/17 - Stabilization of maxgraft® block with two screws for osteosynthesis
Block augmentation with maxgraft® block & mucoderm® - Dr. K. Chmielewski
-
09/17 - Additional protection of the block with cerabone® granules and placement of mucoderm® as barrier membrane and additional soft tissue augmentation in one step
Block augmentation with maxgraft® block & mucoderm® - Dr. K. Chmielewski
-
10/17 - Stabilization of mucoderm® with sutures. Base of the mucoderm® was stabilized with 3 titanium pins
Block augmentation with maxgraft® block & mucoderm® - Dr. K. Chmielewski
-
11/17 - mucoderm® adapted in place and stabilized with resorbable (PGA) and nonresorbable mattress sutures
Block augmentation with maxgraft® block & mucoderm® - Dr. K. Chmielewski
-
12/17 - Tension free flap closure with monofilament sutures
Block augmentation with maxgraft® block & mucoderm® - Dr. K. Chmielewski
-
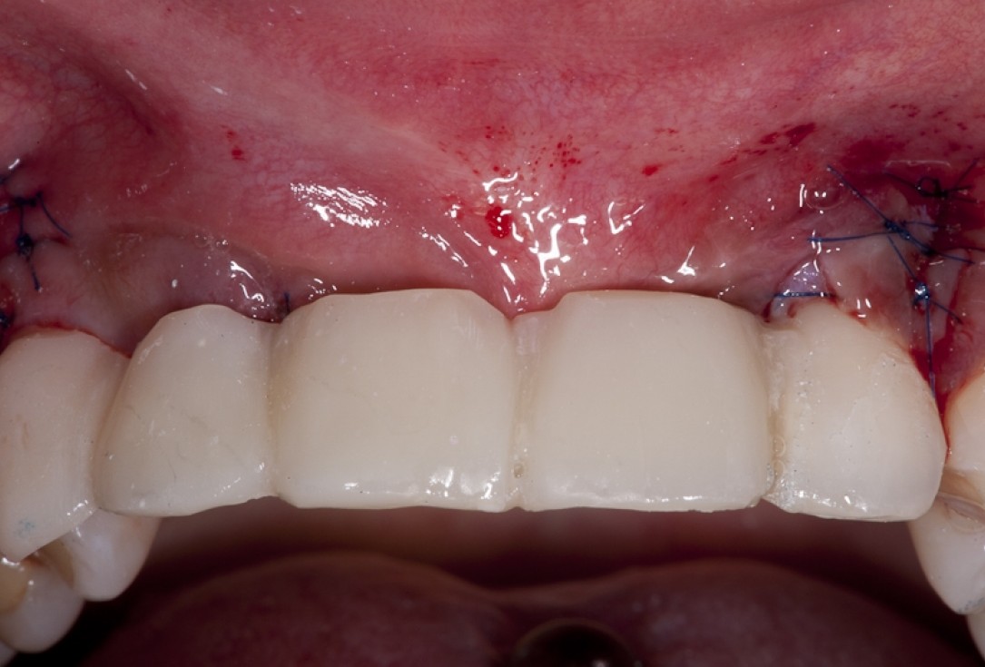
13/17 - Non resorbable sutures are stabilizing flap and sealing the wound
Block augmentation with maxgraft® block & mucoderm® - Dr. K. Chmielewski
-
14/17 - Immediate temporary restoration shortened in apical region to avoid accidental soft tissue perforation during initial healing
Block augmentation with maxgraft® block & mucoderm® - Dr. K. Chmielewski
-
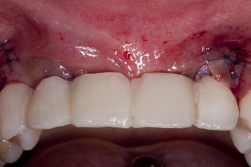
15/17 - Situation after sutures removal and healing period of two weeks
Block augmentation with maxgraft® block & mucoderm® - Dr. K. Chmielewski
-
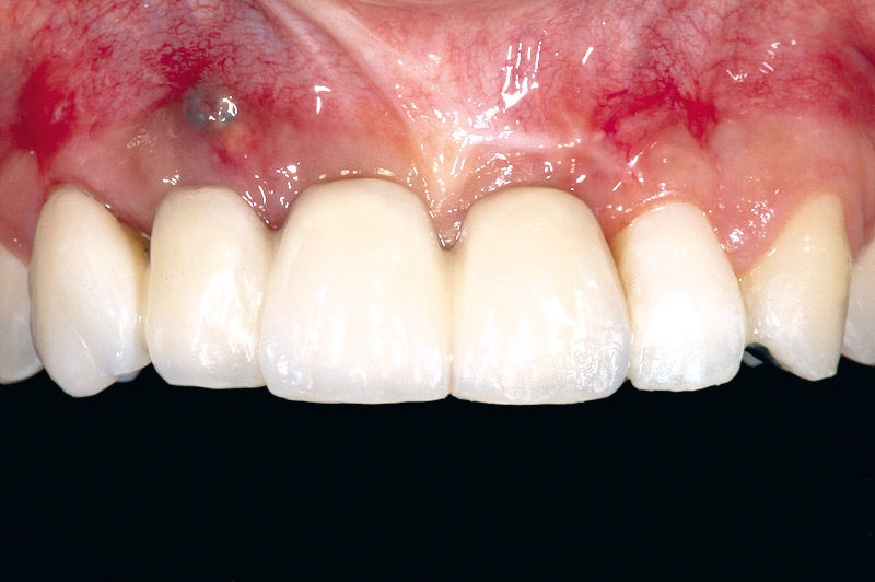
16/17 - Soft tissue situation after temporary prosthesis
Block augmentation with maxgraft® block & mucoderm® - Dr. K. Chmielewski
-
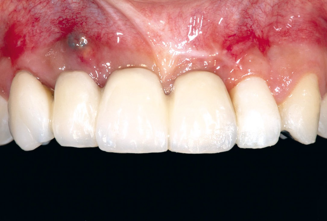
17/17 - Final denture with nice papilla
Block augmentation with maxgraft® block & mucoderm® - Dr. K. Chmielewski