-
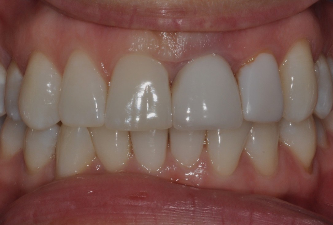
01/16 - Situation before extraction with single tooth crowns on 21 and 22
Socket preservation with cerabone® - Dr. R. A. Nader
-
02/16 - Situation before extraction, occlusal view
Socket preservation with cerabone® - Dr. R. A. Nader
-
04/16 - Extraction of tooth root 21
Socket preservation with cerabone® - Dr. R. A. Nader
-
03/16 - Radiograph befor extraction of 21
Socket preservation with cerabone® - Dr. R. A. Nader
-
05/16 - Filling of extraction socket with cerabone®
Socket preservation with cerabone® - Dr. R. A. Nader
-
06/16 - X-ray control after filling of socket
Socket preservation with cerabone® - Dr. R. A. Nader
-
07/16 - Provisional restoration with crown on 22
Socket preservation with cerabone® - Dr. R. A. Nader
-
08/16 - Situation after 6 months healing time
Socket preservation with cerabone® - Dr. R. A. Nader
-
09/16 - Implantation 6 months after extraction
Socket preservation with cerabone® - Dr. R. A. Nader
-
10/16 - X-ray control after implantation
Socket preservation with cerabone® - Dr. R. A. Nader
-
11/16 - Situation after healing
Socket preservation with cerabone® - Dr. R. A. Nader
-
12/16 - Situation after removal of healing cap
Socket preservation with cerabone® - Dr. R. A. Nader
-
13/16 - Implant screwed single tooth crown
Socket preservation with cerabone® - Dr. R. A. Nader
-
14/16 - Implant screwed crown for restoration of 21 and full porcelain crown for 22
Socket preservation with cerabone® - Dr. R. A. Nader
-
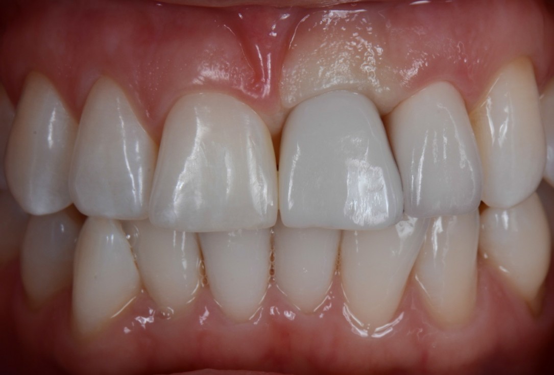
15/16 - Crowns on 21 and 22 in situ
Socket preservation with cerabone® - Dr. R. A. Nader
-
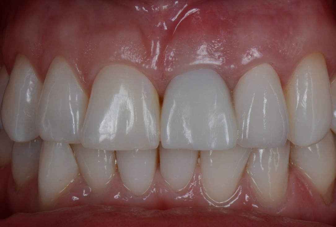
16/16 - Final prosthetic restoration
Socket preservation with cerabone® - Dr. R. A. Nader