mucoderm® for regeneration following the removal of an odontogenic fibroma - Prof. Dr. Dr. D. Rothamel

Multiple gingival recessions treated by MCAF in conjunction with mucoderm® - Kasaj

Pre-surgical clinical situation. Multiple adjacent gingival recessions at teeth 12,13 and 14.

botiss mucoderm® for coverage of multiple recessions - clinical case by Dr. S. Stavar

Initial clinical situation. Multiple adjacent gingival recessions in regio 11-13.

Widening of the peri-implant keratinized mucosa-Horváth

Lack of sufficient keratinized mucosa following extensive horizontal ridge augmentation

GBR together with soft tissue augmentation with mucoderm® and maxresorb® - Scherg

Longitudinal fracture on the root resected tooth 21 with visible buccal fistula

GBR and soft tissue augmentation with cerabone® and mucoderm® - H. Maghaireh & V. Ivancheva

Initial situation: missing teeth #11 & 12 and badly broken #21 root

botiss mucoderm® for treatment of single gingival recession - Clinical case

Initial clinical situation with Miller class 1 recession

cerabone® and mucoderm® for immediacy in esthetic zone -Dr. M Motta

Initial view of the case. Discoloration of 1.1 and mild class I gingival recession

botiss maxgraft® bonebuilder and vestibuloplasty with mucoderm® for ridge augmentation - Clinical case

Preoperative situation – Maxillary defect in area 14-16 (loss of implant 16 due to periimplantitis, tooth 14 extracted recently and area 15 already edentulous for a while)

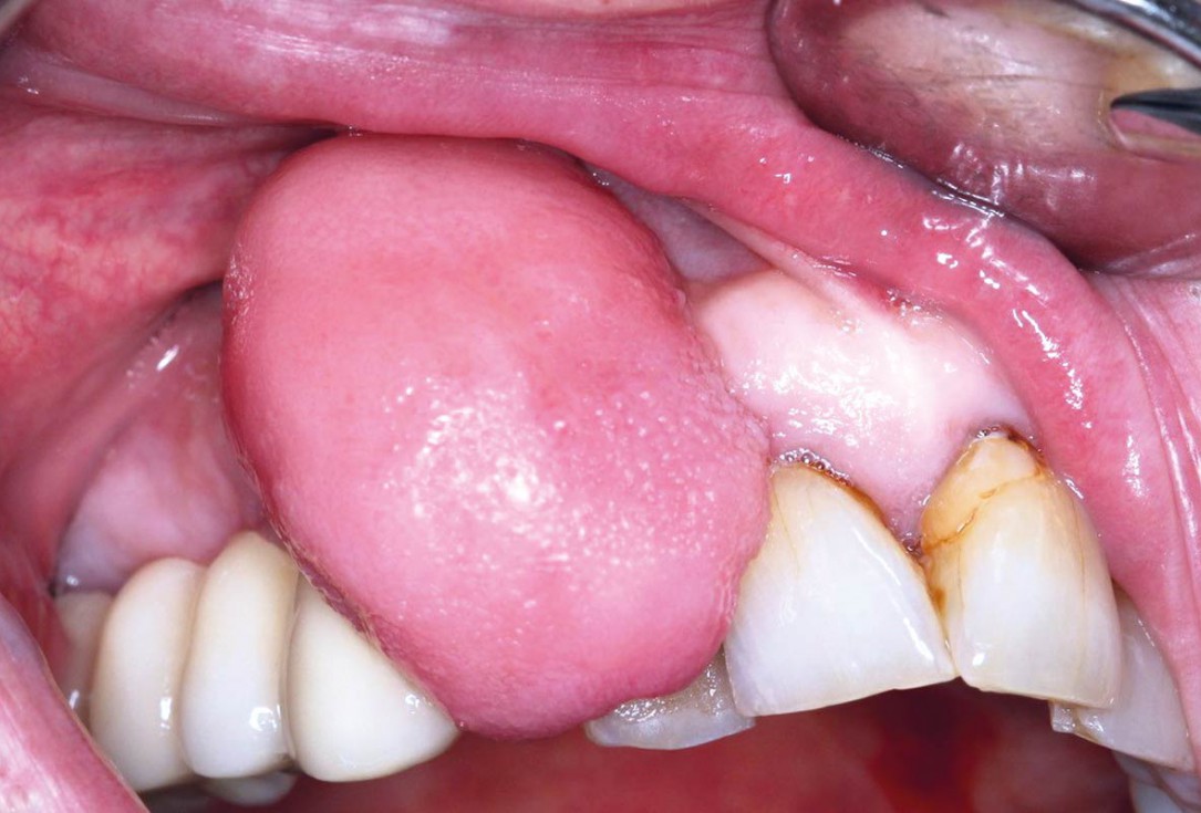
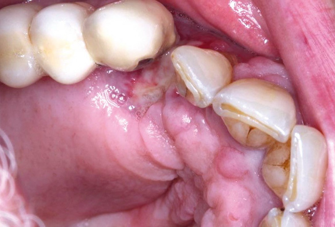
Regeneration with mucoderm® after fibroma resection

Initial clinical situation shows an odontogenic fibroma that was growing for years

cerabone® and mucoderm® for immediate implantation in the aesthetic area - Dr. D. Robles

Initial clinical situation - Central incisors with dental destruction and periapical pathology

Post extraction socket sealing with mucoderm® - Dr. M. Frosecchi

X-ray showing endodontic failure of the molar

Treatment of a soft tissue deficiency with mucoderm® - Dr. F. Rojas-Vizcaya

Initial clinical situation showing severe soft tissue loss

Tooth extraction and socket sealing with mucoderm® - Dr. A. Rossi

Initial clinical situation showing strongly compromised tooth 21

Regenerative corticotomy to compensate lower incisor malocclusion with cerabone® and mucoderm®

Initial view of the clinical case: Class III malocclusion
Treatment plan: Regenerative corticotomy (PAOO)

Soft tissue thickening with mucoderm® - Dr. G. de Deus

Initial clinical view of the case. Soft tissue dehiscence around implants 26.

Block augmentation with maxgraft® block and mucoderm® - Dr. K. Chmielewski

Initial situation before surgery. Patient lost central incisors 1 month ago due to endodontic failures

Single gingival recession treated with the envelope technique in conjunction with mucoderm® - Kasaj

Gingival recession at tooth 13. Free gingival graft (FGG) of a previous surgery for root coverage visible.

Augmentation of a traumatic soft tissue defect-Rathe

Initial clinical situation with traumatic loss of tooth 21

Multiple gingival recessions treated by MCAT with mucoderm® and Straumann® Emdogain® (2) - Rathe

Pre-operative clinical situation. Shallow multiple adjacent gingival recessions in the first quadrant.

Mucosal thickening around bone level implants - Dr. A. Puisys

Full-thickness flap preparation bucally and lingually

Socket seal with mucoderm® punch

Intact socket following atraumatic tooth extraction

Immediate implantation with maxresorb® - Dr. M. Frosecchi

X-ray control before tooth extraction

Ridge augmentation in the maxilla with maxgraft® bonebuilder in the aesthetic zone - Dr. M. Kristensen

Bone defect in area 11-21 due to two lost implants (periimplantitis) after 15 years of function

botiss maxgraft® bonebuilder aesthetic reconstruction - Clinical case

Pre-operative clinical situation: changed color in the gingiva in the front maxilla

botiss-cerabone-permamem-maxgraft-mucoderm-horizontal-gbr-maghaireh

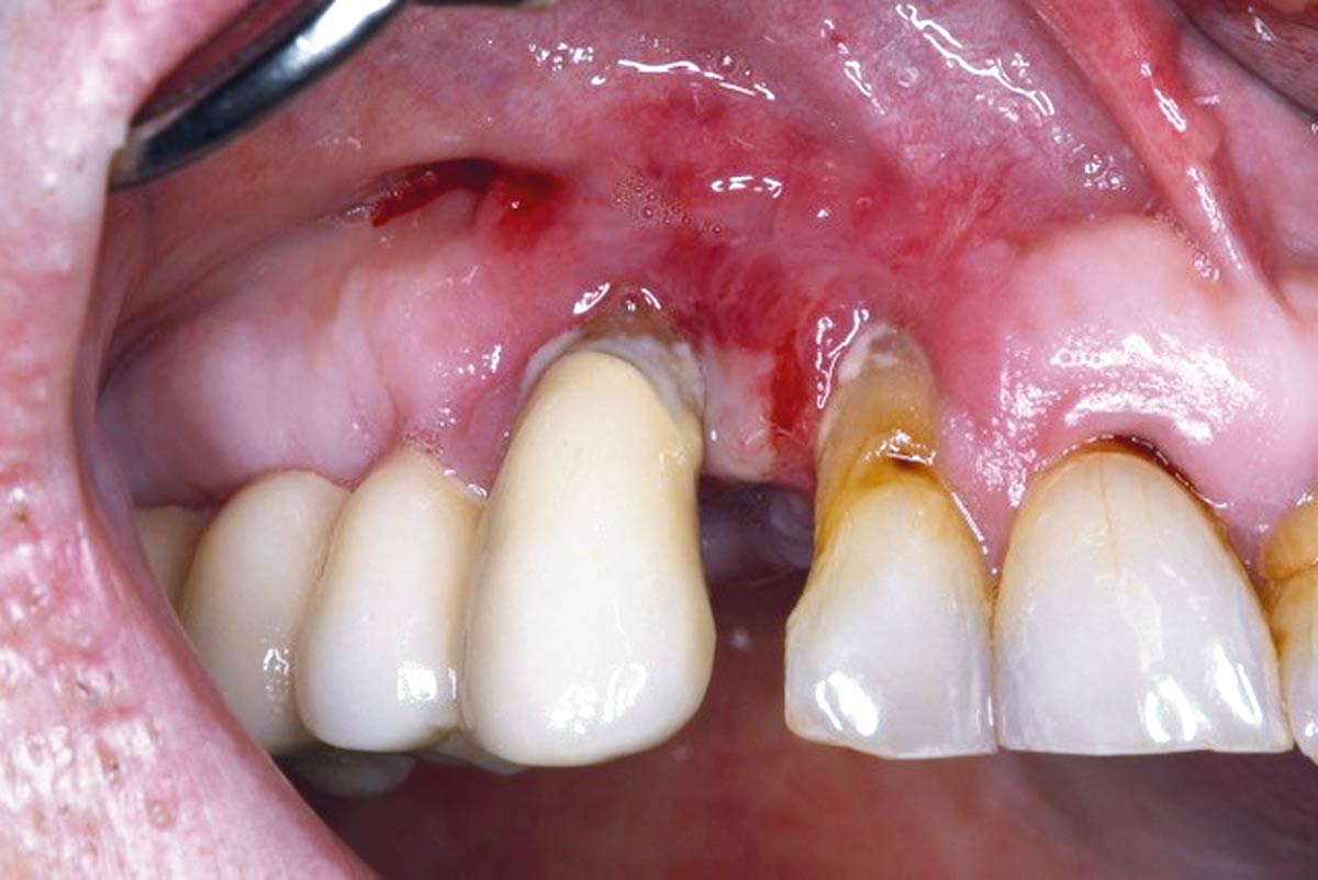
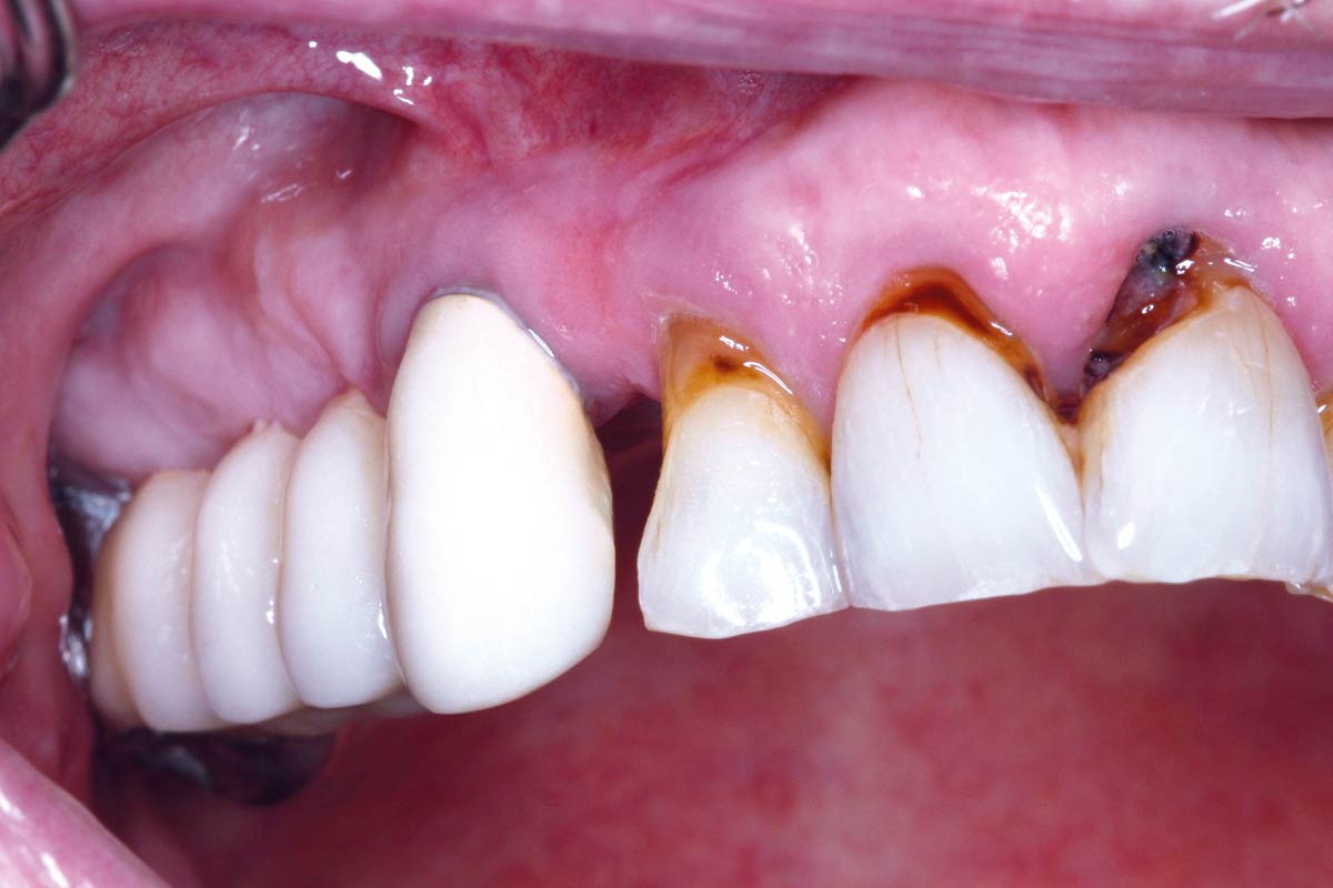
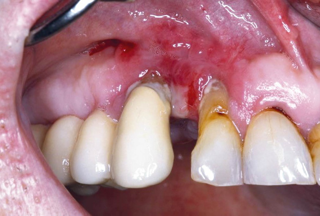
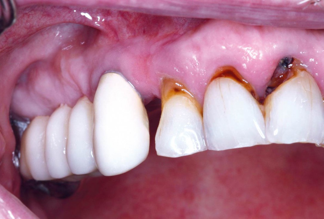
Initial situation - A young female 34 years old lost her front teeth in an surfing accident and she had a 5 unit bridge supported by her upper left lateral and right canine. The restoration failed and both supporting crowns have exposed and leaking margins.