-
1/9 - Severe atrophy of the ridge
Three-dimensional augmentation in the mandible with maxgraft® cortico – J. Kielhorn and Dr. S. Hölzer
-
2/9 - Preoperative clinical situation
Three-dimensional augmentation in the mandible with maxgraft® cortico – J. Kielhorn and Dr. S. Hölzer
-
3/9 - Placement and fixation of maxgraft® cortico
Three-dimensional augmentation in the mandible with maxgraft® cortico – J. Kielhorn and Dr. S. Hölzer
-
4/9 - Filling the created container with granules
Three-dimensional augmentation in the mandible with maxgraft® cortico – J. Kielhorn and Dr. S. Hölzer
-
5/9 - Tension-free wound closure
Three-dimensional augmentation in the mandible with maxgraft® cortico – J. Kielhorn and Dr. S. Hölzer
-
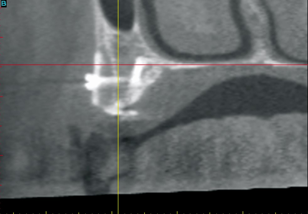
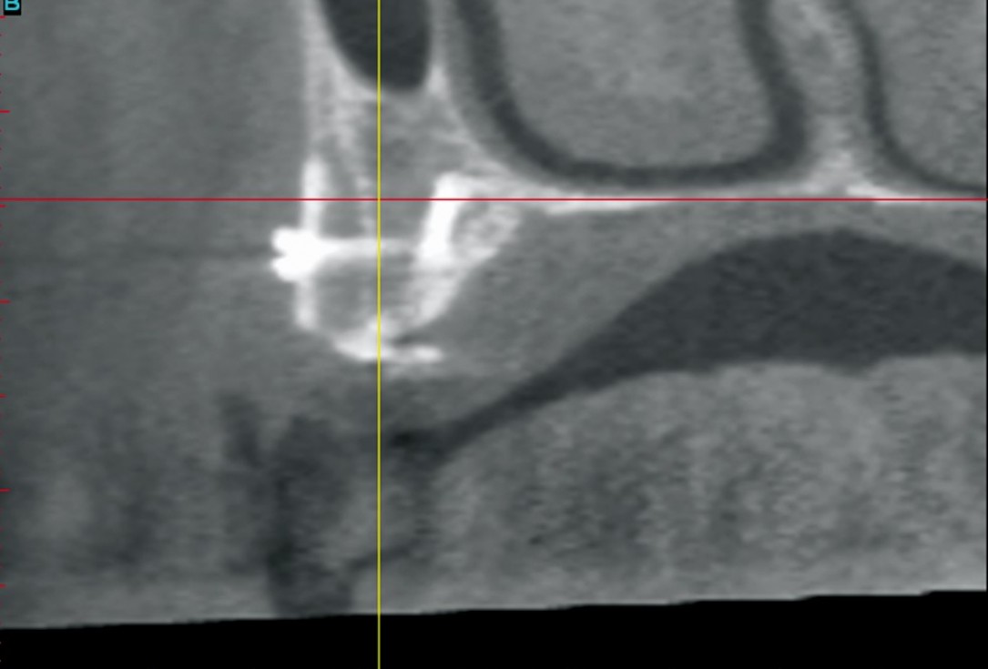
6/9 - Radiological situation five months after augmentation
Three-dimensional augmentation in the mandible with maxgraft® cortico – J. Kielhorn and Dr. S. Hölzer
-
7/9 - Re-entry: sufficient regeneration and formation of new bone for a secure implant placement
Three-dimensional augmentation in the mandible with maxgraft® cortico – J. Kielhorn and Dr. S. Hölzer
-
8/9 - Preparation of implant bed
Three-dimensional augmentation in the mandible with maxgraft® cortico – J. Kielhorn and Dr. S. Hölzer
-
9/9 - Implant positioning
Three-dimensional augmentation in the mandible with maxgraft® cortico – J. Kielhorn and Dr. S. Hölzer