-
01/14 - Pre-operative situation. Lateral view.
Socket preservation with permamem® - Dr. P. Papi
-
02/14 - Pre-operative situation. Occlusal view.
Socket preservation with permamem® - Dr. P. Papi
-
03/14 - Following tooth extraction, placement of permamem® to cover the extraction site. No additional grafting of the socket.
Socket preservation with permamem® - Dr. P. Papi
-
04/14 - Stabilization of permamem® at the site by suturing of the marginal soft tissues. Additional covering of a perforation at the buccal aspect after removal of a fistula.
Socket preservation with permamem® - Dr. P. Papi
-
05/14 - Situation 2 weeks post-operative.
Socket preservation with permamem® - Dr. P. Papi
-
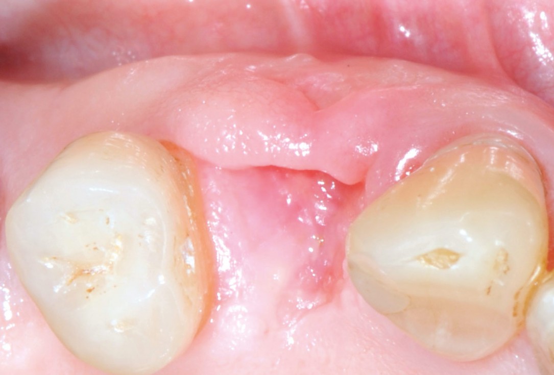
06/14 - Situation after membrane removal 4 weeks post-operative. Occlusal view.
Socket preservation with permamem® - Dr. P. Papi
-
07/14 - Situation after membrane removal 4 weeks post-operative. Lateral view.
Socket preservation with permamem® - Dr. P. Papi
-
08/14 - Reentry 4 months after membrane removal.
Socket preservation with permamem® - Dr. P. Papi
-
09/14 - Implant placement.
Socket preservation with permamem® - Dr. P. Papi
-
10/14 - Situation following implant placement.
Socket preservation with permamem® - Dr. P. Papi
-
11/14 - Installed healing cap.
Socket preservation with permamem® - Dr. P. Papi
-
12/14 - Wound closure.
Socket preservation with permamem® - Dr. P. Papi
-
13/14 - Situation one week later after suture removal. Lateral view.
Socket preservation with permamem® - Dr. P. Papi
-
14/14 - Situation one week later after suture removal. Occlusal view.
Socket preservation with permamem® - Dr. P. Papi