Immediate implant placement and correction of horizontal and vertical bone loss using an allograft bone ring, cerabone® and Jason® membrane - Drs. Miller and Korn
-
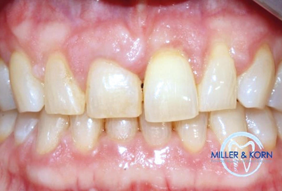
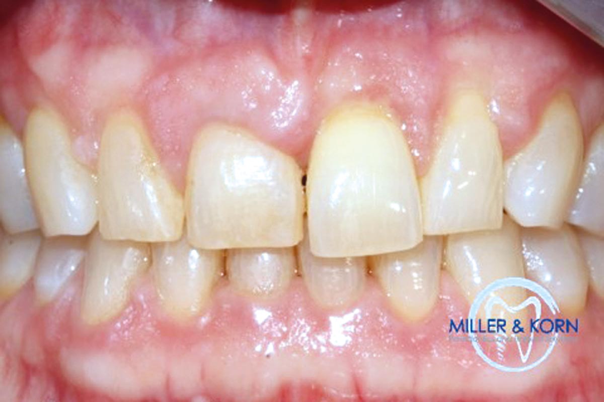
01/39 - The patient presented with pathologic mobility of upper left central incisor. Radiographic examination revealed significant circumferential attachment loss with an unfavorable crown to root ratio.Immediate implant placement and correction of horizontal and vertical bone loss using an allograft bone ring, cerabone® and Jason® membrane - Drs. Miller and Korn
-
02/39 - Atraumatic extraction of the toothImmediate implant placement and correction of horizontal and vertical bone loss using an allograft bone ring, cerabone® and Jason® membrane - Drs. Miller and Korn
-
03/39 - Extracted toothImmediate implant placement and correction of horizontal and vertical bone loss using an allograft bone ring, cerabone® and Jason® membrane - Drs. Miller and Korn
-
04/39 - Preparation of a full thickness flap and careful debridementImmediate implant placement and correction of horizontal and vertical bone loss using an allograft bone ring, cerabone® and Jason® membrane - Drs. Miller and Korn
-
05/39 - Occlusal view of the extraction siteImmediate implant placement and correction of horizontal and vertical bone loss using an allograft bone ring, cerabone® and Jason® membrane - Drs. Miller and Korn
-
06/39 - Root planning of the adjacent teethImmediate implant placement and correction of horizontal and vertical bone loss using an allograft bone ring, cerabone® and Jason® membrane - Drs. Miller and Korn
-
07/39 - Application of PrefGel® (EDTA) on the adjacent teethImmediate implant placement and correction of horizontal and vertical bone loss using an allograft bone ring, cerabone® and Jason® membrane - Drs. Miller and Korn
-
08/39 - Application of PrefGel® (EDTA) on the adjacent teethImmediate implant placement and correction of horizontal and vertical bone loss using an allograft bone ring, cerabone® and Jason® membrane - Drs. Miller and Korn
-
09/39 - Determination of the implant position using a needle drillImmediate implant placement and correction of horizontal and vertical bone loss using an allograft bone ring, cerabone® and Jason® membrane - Drs. Miller and Korn
-
10/39 - Pilot drilling with a 2.2 mm twist drillImmediate implant placement and correction of horizontal and vertical bone loss using an allograft bone ring, cerabone® and Jason® membrane - Drs. Miller and Korn
-
11/39 - Positioning of a direction indicatorImmediate implant placement and correction of horizontal and vertical bone loss using an allograft bone ring, cerabone® and Jason® membrane - Drs. Miller and Korn
-
12/39 - Positioning of a direction indicatorImmediate implant placement and correction of horizontal and vertical bone loss using an allograft bone ring, cerabone® and Jason® membrane - Drs. Miller and Korn
-
13/39 - Preparation of the rind bed using a 6.0 mm trephine drillImmediate implant placement and correction of horizontal and vertical bone loss using an allograft bone ring, cerabone® and Jason® membrane - Drs. Miller and Korn
-
14/39 - Retrieval of autologous bone chipsImmediate implant placement and correction of horizontal and vertical bone loss using an allograft bone ring, cerabone® and Jason® membrane - Drs. Miller and Korn
-
15/39 - Marking the height of the bone ringImmediate implant placement and correction of horizontal and vertical bone loss using an allograft bone ring, cerabone® and Jason® membrane - Drs. Miller and Korn
-
16/39 - Trimming of the bone ringImmediate implant placement and correction of horizontal and vertical bone loss using an allograft bone ring, cerabone® and Jason® membrane - Drs. Miller and Korn
-
17/39 - Trimming of the bone ringImmediate implant placement and correction of horizontal and vertical bone loss using an allograft bone ring, cerabone® and Jason® membrane - Drs. Miller and Korn
-
18/39 - Preparation of the implant bed using a 2.8 mm twist drillImmediate implant placement and correction of horizontal and vertical bone loss using an allograft bone ring, cerabone® and Jason® membrane - Drs. Miller and Korn
-
19/39 - Immediate implant insertion through the bone ringImmediate implant placement and correction of horizontal and vertical bone loss using an allograft bone ring, cerabone® and Jason® membrane - Drs. Miller and Korn
-
20/39 - Removal of sharp edges using a diamond tulipImmediate implant placement and correction of horizontal and vertical bone loss using an allograft bone ring, cerabone® and Jason® membrane - Drs. Miller and Korn
-
21/39 - Treatment of the recession and bone loss around the adjacent teeth with Emdogain®Immediate implant placement and correction of horizontal and vertical bone loss using an allograft bone ring, cerabone® and Jason® membrane - Drs. Miller and Korn
-
22/39 - Application of a small amount of Emdogain® on the bone ringImmediate implant placement and correction of horizontal and vertical bone loss using an allograft bone ring, cerabone® and Jason® membrane - Drs. Miller and Korn
-
23/39 - Trimmed Jason® membraneImmediate implant placement and correction of horizontal and vertical bone loss using an allograft bone ring, cerabone® and Jason® membrane - Drs. Miller and Korn
-
24/39 - Application of cerabone®Immediate implant placement and correction of horizontal and vertical bone loss using an allograft bone ring, cerabone® and Jason® membrane - Drs. Miller and Korn
-
25/39 - Application of cerabone®Immediate implant placement and correction of horizontal and vertical bone loss using an allograft bone ring, cerabone® and Jason® membrane - Drs. Miller and Korn
-
26/39 - Covering of the augmented area with a Jason® membrane sutured to the palatal flapImmediate implant placement and correction of horizontal and vertical bone loss using an allograft bone ring, cerabone® and Jason® membrane - Drs. Miller and Korn
-
27/39 - Application of Emdogain® on the suturesImmediate implant placement and correction of horizontal and vertical bone loss using an allograft bone ring, cerabone® and Jason® membrane - Drs. Miller and Korn
-
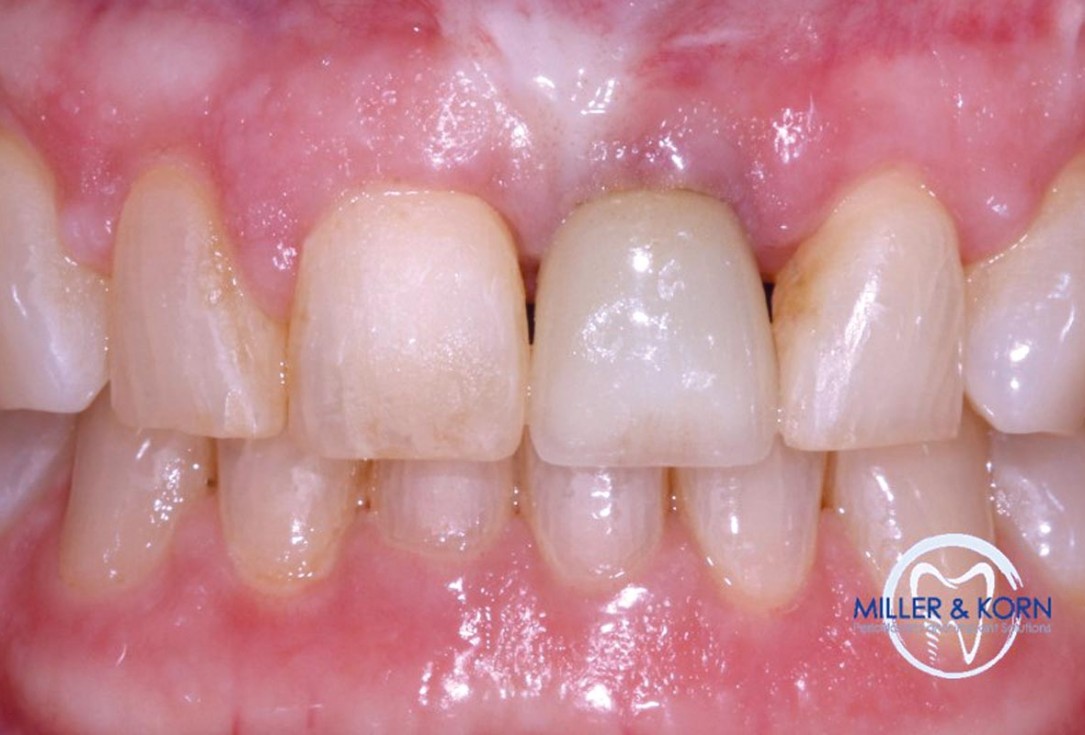
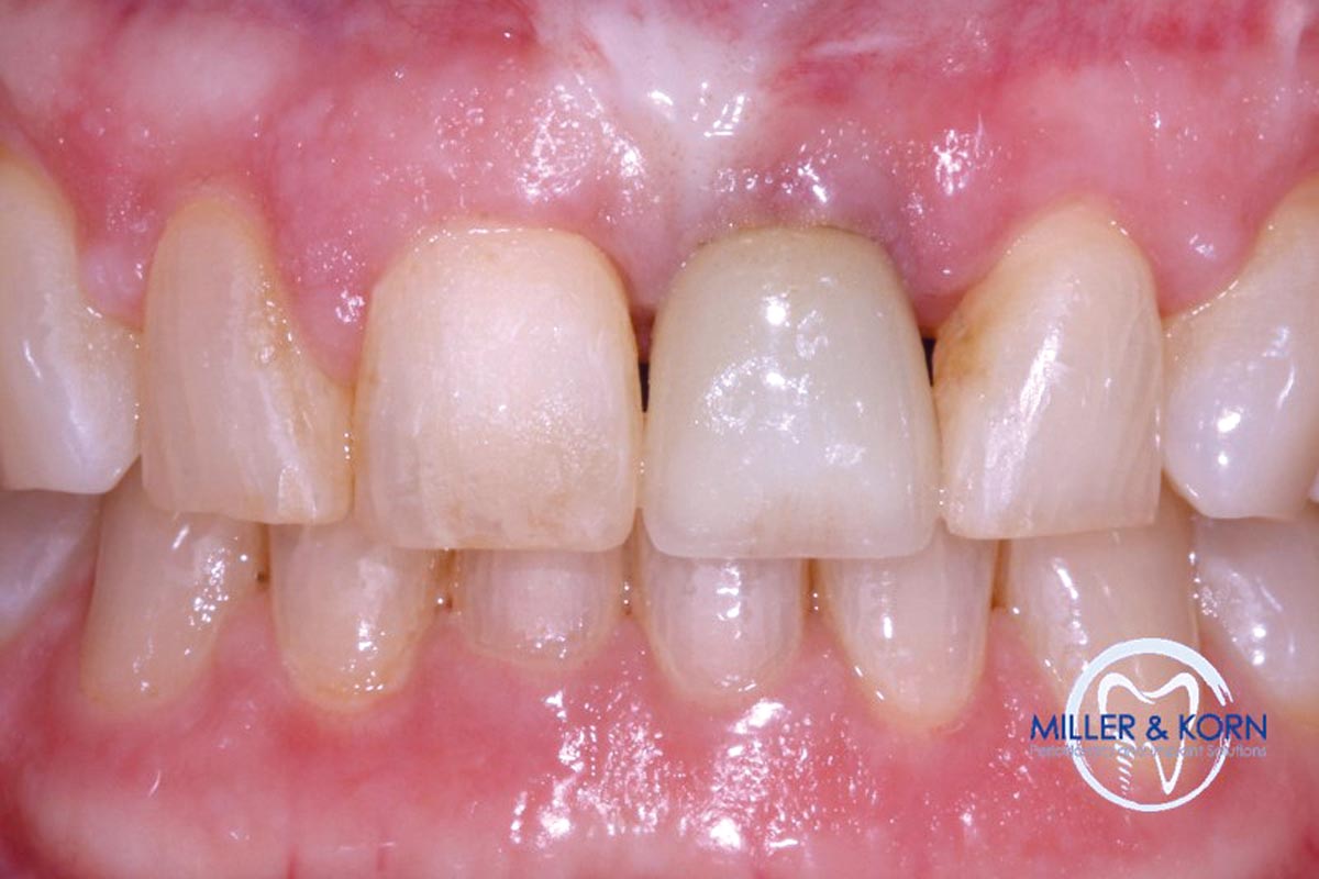
28/39 - Healing and bonded provisional 6 months after implantationImmediate implant placement and correction of horizontal and vertical bone loss using an allograft bone ring, cerabone® and Jason® membrane - Drs. Miller and Korn
-
29/39 - Occlusal view 6 months after implantationImmediate implant placement and correction of horizontal and vertical bone loss using an allograft bone ring, cerabone® and Jason® membrane - Drs. Miller and Korn
-
30/39 - Placed healing abutmentImmediate implant placement and correction of horizontal and vertical bone loss using an allograft bone ring, cerabone® and Jason® membrane - Drs. Miller and Korn
-
31/39 - ProstheticsImmediate implant placement and correction of horizontal and vertical bone loss using an allograft bone ring, cerabone® and Jason® membrane - Drs. Miller and Korn
-
32/39 - Preoperative clinical situationImmediate implant placement and correction of horizontal and vertical bone loss using an allograft bone ring, cerabone® and Jason® membrane - Drs. Miller and Korn
-
33/39 - Preoperative clinical situationImmediate implant placement and correction of horizontal and vertical bone loss using an allograft bone ring, cerabone® and Jason® membrane - Drs. Miller and Korn
-
34/39 - Preoperative radiographImmediate implant placement and correction of horizontal and vertical bone loss using an allograft bone ring, cerabone® and Jason® membrane - Drs. Miller and Korn
-
35/39 - Immediate post surgery radiographImmediate implant placement and correction of horizontal and vertical bone loss using an allograft bone ring, cerabone® and Jason® membrane - Drs. Miller and Korn
-
36/39 - Radiograph 6 months after implantationImmediate implant placement and correction of horizontal and vertical bone loss using an allograft bone ring, cerabone® and Jason® membrane - Drs. Miller and Korn
-
37/39 - Final radiograph revealing both horizontal and vertical augmentation of the osseous defects (8 months after implantation)Immediate implant placement and correction of horizontal and vertical bone loss using an allograft bone ring, cerabone® and Jason® membrane - Drs. Miller and Korn
-
38/39 - Preoperative CT scanImmediate implant placement and correction of horizontal and vertical bone loss using an allograft bone ring, cerabone® and Jason® membrane - Drs. Miller and Korn
-
39/39 - CT scan 8 months after implantationImmediate implant placement and correction of horizontal and vertical bone loss using an allograft bone ring, cerabone® and Jason® membrane - Drs. Miller and Korn
Preoperative Ortopantomogram of the teeth planned for extraction
DVT image demonstrating horizontal and vertical amount of bone available
Extraction of tooth 21 after endodontic treatment
Implant insertion in atrophic alveolar ridge
Initial clinical situation with broken bridge abutment in regio 12 and tooth 21 not worth preserving
Initial clinical situation with gum recession and labial bone loss eight weeks following tooth extraction
Situation after tooth extraction.
Initial clinical situation
Initial situation after extraction of tooth 21 after 6 months
Situation after tooth removal.
Bone defect in area 11-21 due to two lost implants (periimplantitis) after 15 years of function
Pre-operative clinical situation: severe atrophy of the maxillary bone
60-year-old female patient presented with a chronic infection on tooth #11.
Since she has a high lip line matching the gingival margins of the adjacent central incisor and creating a root eminence is extremely important. For these reasons, the treatment of choice was an allograft bone ring enabling immediate placement of the dental implant with simultaneous regeneration of her ridge.
Initial clinical situation: 9 mm pocket depth associated with root fracture
Initial presentation of failing post retained crown with previous history of failed apicectomies and amalgam tattooing and scar tissue
Initial clinical situation with pronounced vertical and horizontal bone defect
Clinical view 8 weeks after extraction of teeth 25 and 26
Pre-operative: loss of interdental papilla between 12 and 11 associated with gingival inflammation and pus
Preoperative x-ray, multiple residual cysts of the upper jaw
Clinical situation at baseline: Situation after tooth extraction UR1 due to a failed endodontic treatment 3 months previously
Situation before extraction of the teeth
Atrophic alveolar ridge in the left mandible
Instable bridge situation with abscess formation at tooth #15 after apicoectomy
Preoperative clinical situation
Pre-operative radiographic view.
Initial situation pre-op: Central incisors with mobility 3
Initial clinical situation.
Initial situation: X-ray scan reveals eggshell thin sinus floor (1-3 mm) on both sites of the maxilla; green areas indicate the planned maxgraft® bonerings and red areas the planned implants
Pre-surgical situation. Teeth 26 and 27 missing.
Pre-op picture of affected teeth 11 and 21
Preoperative radiological situation
Clinical view of the case.
Preoperative situation – Maxillary defect in area 14-16 (loss of implant 16 due to periimplantitis, tooth 14 extracted recently and area 15 already edentulous for a while)
Initial x-ray showing bone loss around implants placed 5 years ago in another dental clinic
Initial clinical situation
Initial situation - endodontically failing tooth 22, very thin biotype, high lip line and esthetic expectations
Loss of teeth in anterior maxilla caused by periodontitis
Initial situation after root channel treatment
Preoperative CBCT analysis
Preparation of a single tooth defect with severely resorbed vestibular wall
Three implants placed in a narrow posterior mandible
Initial clinical situation with single tooth gap in regio 21
Clinical situation: 71-old patient with atrial fibrillation and Warfarin medication
Initial situation 57-year old female patient. X-ray scan reveals severe bone loss due to inflammation in region 13. Treatment plan was extraction of teeth 13 and 14 and augmentation after healing.
Initial clinical situation, regio #16
Model of the initial defect computed from a CBCT scan - buccal view
Clinical situation
Lateral view of the defect in the posterior right maxilla.
Initial clinical situation.
The patient presented with pathologic mobility of upper left central incisor. Radiographic examination revealed significant circumferential attachment loss with an unfavorable crown to root ratio.
Initial situation – Treatment plan: Replace the adhesive upper left central incisor bridge with a dental implant
Preoperative CBCT: vertical bone defects in the 3rd & 4th quadrant
Initial clinical situation: Free end situation in quadrant three and four
Initial x-ray, tooth 25 compromised and to be extracted
Preoperative x-ray, severe bone atrophy
The patient presented with severe pain in the lateral incisor and a deficient adhesive provisional. Bruxism resulted in canine loss and premature contact in the lateral incisor.
Initial x-ray, ten years post implantationem alio loco, large peri-implant bone loss






































