-
01 / 22 - Initial clinical situation – missing bonein regio 11, 12, 21, 22 and scarred soft tissue
Three-dimensional augmentation with maxgraft® cortico - M.Sc. E. Kapogianni
-
02 / 22 - Flap projection and demonstration of bone defect
Three-dimensional augmentation with maxgraft® cortico - M.Sc. E. Kapogianni
-
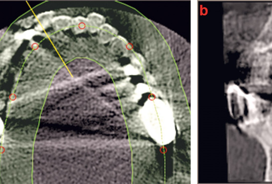
03 / 22 - Initial situation – CBCT image of the first quadrant
Three-dimensional augmentation with maxgraft® cortico - M.Sc. E. Kapogianni
-
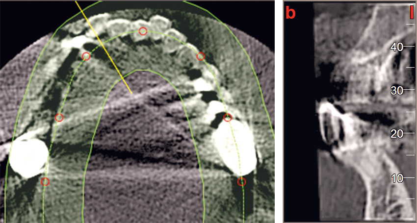
04 / 22 - Initial situation – CBCT image of the second quadrant
Three-dimensional augmentation with maxgraft® cortico - M.Sc. E. Kapogianni
-
05 / 22 - Fixation of two allogenic cortical plates at the buccal wall
Three-dimensional augmentation with maxgraft® cortico - M.Sc. E. Kapogianni
-
06 / 22 - Crestal fixation of two allogenic cortical plates for container creation and contouring with cancellous allogenic chips
Three-dimensional augmentation with maxgraft® cortico - M.Sc. E. Kapogianni
-
07 / 22 - Covering of the augmentation site with a collprotect® collagen membrane
Three-dimensional augmentation with maxgraft® cortico - M.Sc. E. Kapogianni
-
08 / 22 - Tension-free wound closure
Three-dimensional augmentation with maxgraft® cortico - M.Sc. E. Kapogianni
-
09 / 22 - Post-OP CBCT recording demonstrates the pronounced horizontal augmentation
Three-dimensional augmentation with maxgraft® cortico - M.Sc. E. Kapogianni
-
10 / 22 - CBCT image of the second quadrant after bone augmentation surgery
Three-dimensional augmentation with maxgraft® cortico - M.Sc. E. Kapogianni
-
11 / 22 - Excellent soft tissue healing 2 months post-OP
Three-dimensional augmentation with maxgraft® cortico - M.Sc. E. Kapogianni
-
12 / 22 - Clinical situation at re-entry 6 months after bone augmentation
Three-dimensional augmentation with maxgraft® cortico - M.Sc. E. Kapogianni
-
13 / 22 - Flap preparation along initially placed incision lines
Three-dimensional augmentation with maxgraft® cortico - M.Sc. E. Kapogianni
-
14 / 22 - Removal of the osteosynthesis screws
Three-dimensional augmentation with maxgraft® cortico - M.Sc. E. Kapogianni
-
15 / 22 - Excellent osseous integration of allogenic cortical plates
Three-dimensional augmentation with maxgraft® cortico - M.Sc. E. Kapogianni
-
16 / 22 - Application of a drilling template for optimal implant positioning
Three-dimensional augmentation with maxgraft® cortico - M.Sc. E. Kapogianni
-
17 / 22 - Pilot drills for the four planned implants
Three-dimensional augmentation with maxgraft® cortico - M.Sc. E. Kapogianni
-
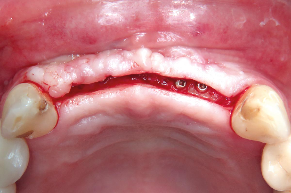
18 / 22 - Stable implantation into the augmented bone
Three-dimensional augmentation with maxgraft® cortico - M.Sc. E. Kapogianni
-
19 / 22 - Contouring with cerabone® and covering with a collprotect® membrane
Three-dimensional augmentation with maxgraft® cortico - M.Sc. E. Kapogianni
-
20 / 22 - Tension-free wound closure
Three-dimensional augmentation with maxgraft® cortico - M.Sc. E. Kapogianni
-
21 / 22 - CBCT image of the first quadrant one year after augmentation
Three-dimensional augmentation with maxgraft® cortico - M.Sc. E. Kapogianni
-
22 / 22 - Optimal implant position and bone volume stability one year after augmentation
Three-dimensional augmentation with maxgraft® cortico - M.Sc. E. Kapogianni